하늘열린 강.임.강.정 서울치과
홈 > 교정 > 교정치료의 증례별모음 > 교정증례
교정치료의 증례별모음

신** 환자

관리자 0 8047

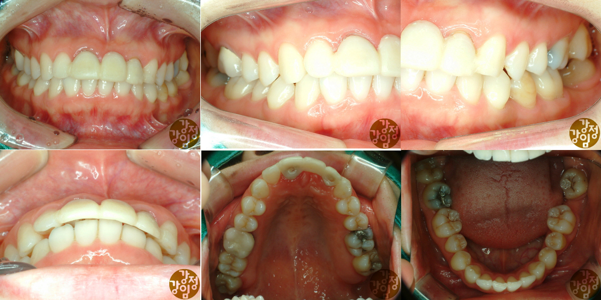
위의 앞니 보철 때문에 내원하였습니다만 아래 앞니가 너무 위로 정출되어 이 위치에서 보철물 제작시 치아를 많이 뻐들어지게 제작할 수 없었습니다.

아래 앞니를 다시 내리는 교정을 하게 되면 위의 보철물을 안쪽으로 제작할 수 있기 때문에
안모에도 도움이 되고 기능적, 심미적으로 훨씬 더 안정적인 증례가 될 수 있음을 설명하고 교정치료를 해드렸습니다.

덤으로 왼쪽 아래 사랑니도 앞으로 끌어와 임플란트 하실 필요성을 없애드렸지요.

이렇게 작의 범위의 치료에도 교정이 어떤 도움을 줄수 있다면 훨씬 더 결과가 근사해진답니다. ^^

프린트
0 Comments
고객센터이용안내

대표상담전화

02) 413-7527~8
진료정보
ㆍ월,화,금  : AM 10:00 ~ PM 07:00
ㆍ수 요 일  : 휴무
    점 심 시 간  : PM 01:00 ~ PM 02:00
ㆍ수요일/일요일/공휴일은 휴무입니다.
ㆍ목    요    일 : PM 01:30 ~ PM 09:00
    저 녁 시 간  : PM 06:30 ~ PM 07:00

ㆍ토    요    일 : AM 09:30 ~ PM 03:00
    점 심 시 간  : PM 01:00 ~ PM 01:30