하늘열린 강.임.강.정 서울치과
홈 > 교정 > 교정치료의 증례별모음 > 미세교합교정
교정치료의 증례별모음

신** 환자

관리자 0 9475

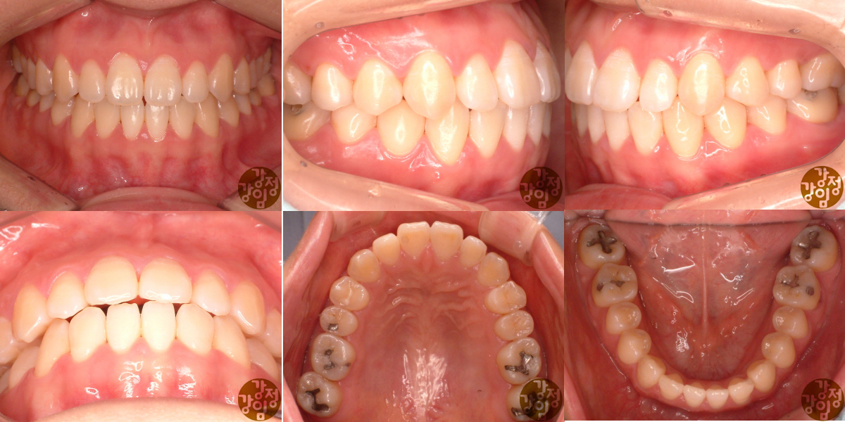
20대 초반의 나이에도 불구하고 3 급 부정교합으로 어금니가 심하게 마모된 환자였습니다.

좌우 교합을 잘 보시면 위아래 송곳니가 전혀 접촉하지 않음을 확인할 수 있습니다.

흔히 견치 유도라 해서 송곳니는 아래턱이 좌우로 움직일때 어금니를 서로 닿게 하지 않는
아주 중요한 역할을 한답니다.

이렇게 서로 멀리 떨어져있으면 송곳니 고유기능이 상실되어 어금니가 많이 부딪히게 되고
이어 많이 마모되게 된답니다.

앞니관계는 물로 송곳니 관계가 좋아졌습니다.

앞으로는 어금니의 건강을 장기간 유지할 수 있을것이라 생각합니다.

프린트
0 Comments
고객센터이용안내

대표상담전화

02) 413-7527~8
진료정보
ㆍ월,화,금  : AM 10:00 ~ PM 07:00
ㆍ수 요 일  : 휴무
    점 심 시 간  : PM 01:00 ~ PM 02:00
ㆍ수요일/일요일/공휴일은 휴무입니다.
ㆍ목    요    일 : PM 01:30 ~ PM 09:00
    저 녁 시 간  : PM 06:30 ~ PM 07:00

ㆍ토    요    일 : AM 09:30 ~ PM 03:00
    점 심 시 간  : PM 01:00 ~ PM 01:30