하늘열린 강.임.강.정 서울치과
MENU
의원소개
강임강정의특별함
의료진소개
강태현 원장님
임웅택 원장님
정현희 원장님
병원둘러보기
오시는길
치아종합진단
치아종합진단소개
치아종합진단과정
치아종합진단사례
교정
진정한의미의교정이란?
닥터 임 칼럼
강임강정교정의특별함
교정의종류
성장교정
투명교정
설측교정
교정치료의 증례별모음
돌출입교정
덧니교정
개방교합교정
과개교합교정
맹출관리교정
미세교합교정
반대교합교정
벌어진교정
성장교정
교정증례
임플란트
임플란트칼럼
임플란트증례별모음
심미
심미사례
기타증례
레진
전치부보철
사진게시판
사진게시판
의원소개
강임강정의특별함
의료진소개
병원둘러보기
오시는길
치아종합진단
치아종합진단소개
치아종합진단과정
치아종합진단사례
교정
진정한의미의교정이란?
닥터 임 칼럼
강임강정교정의특별함
교정의종류
교정치료의 증례별모음
임플란트
임플란트칼럼
임플란트증례별모음
심미
심미사례
기타증례
사진게시판
사진게시판
메인
닫기
기타증례
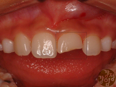
홈 > 심미 > 기타증례 > 레진
기타증례
지** 환자
관리자
레진
0
5252
.
0
Comments
로그인한 회원만 댓글 등록이 가능합니다.
다음
검색
목록
심미
심미사례
기타증례
레진
전치부보철
선엽이어머님 감사합니다~ ^^
이복용님 감사합니다~ ^^
정원장님께서 사주셨어요~~^^
신현주님 고생 많으셨습니다 ^^
고객센터이용안내
대표상담전화
02) 413-7527~8
진료정보
ㆍ월,화,금 : AM 10:00 ~ PM 07:00
ㆍ수 요 일 : 휴무
점 심 시 간 : PM 01:00 ~ PM 02:00
ㆍ수요일/일요일/공휴일은 휴무입니다.
ㆍ목 요 일 : PM 01:30 ~ PM 09:00
저 녁 시 간 : PM 06:30 ~ PM 07:00
ㆍ토 요 일 : AM 09:30 ~ PM 03:00
점 심 시 간 : PM 01:00 ~ PM 01:30
Previous
Next